2026-02-21

【メディア掲載のお知らせ】院長 五十嵐 が医師経営メディア「医師道」にインタビュー掲載されました。

矯正治療

2026-04-18

著者:

ワイヤーによる抜歯矯正

症例

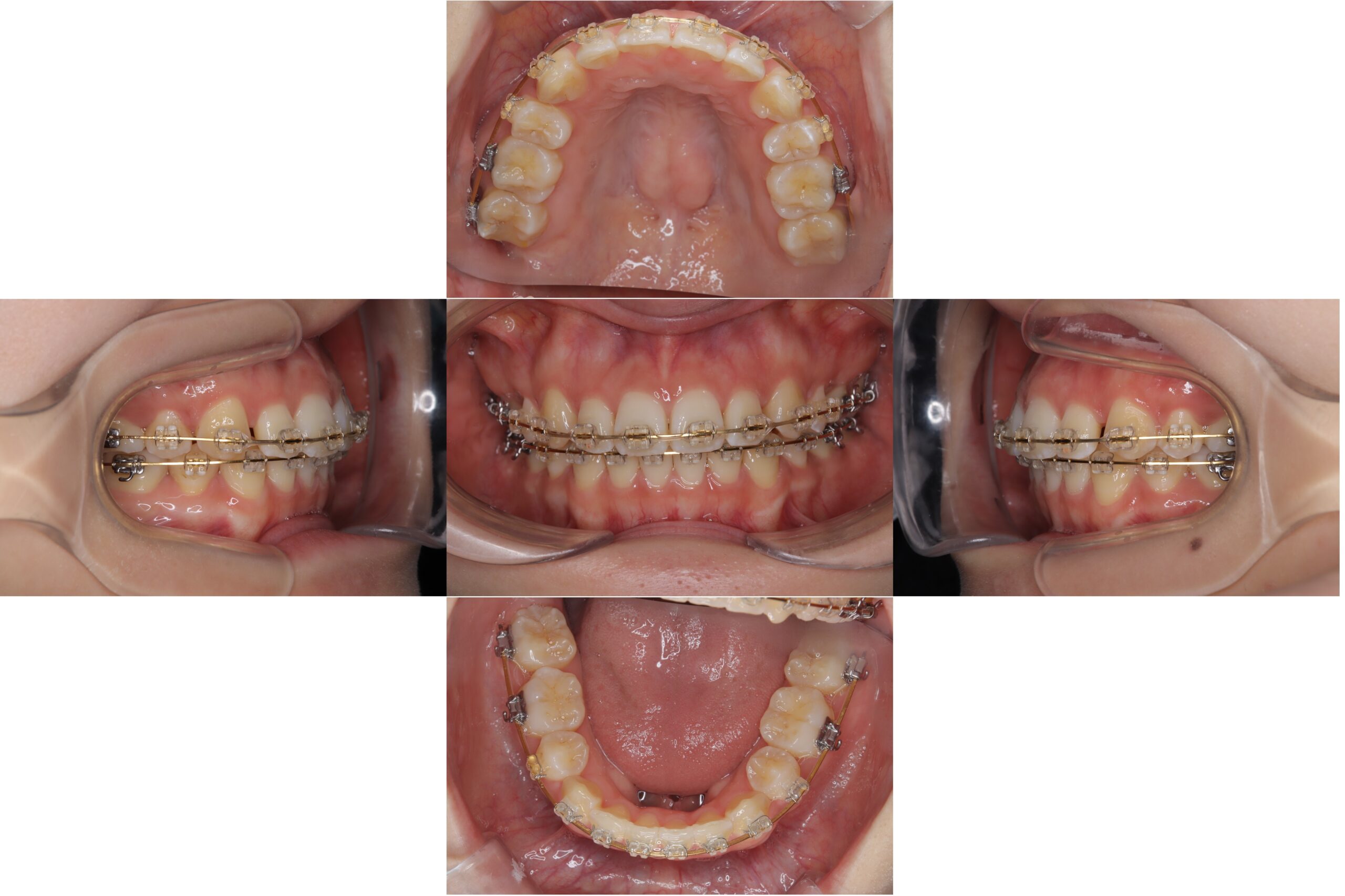
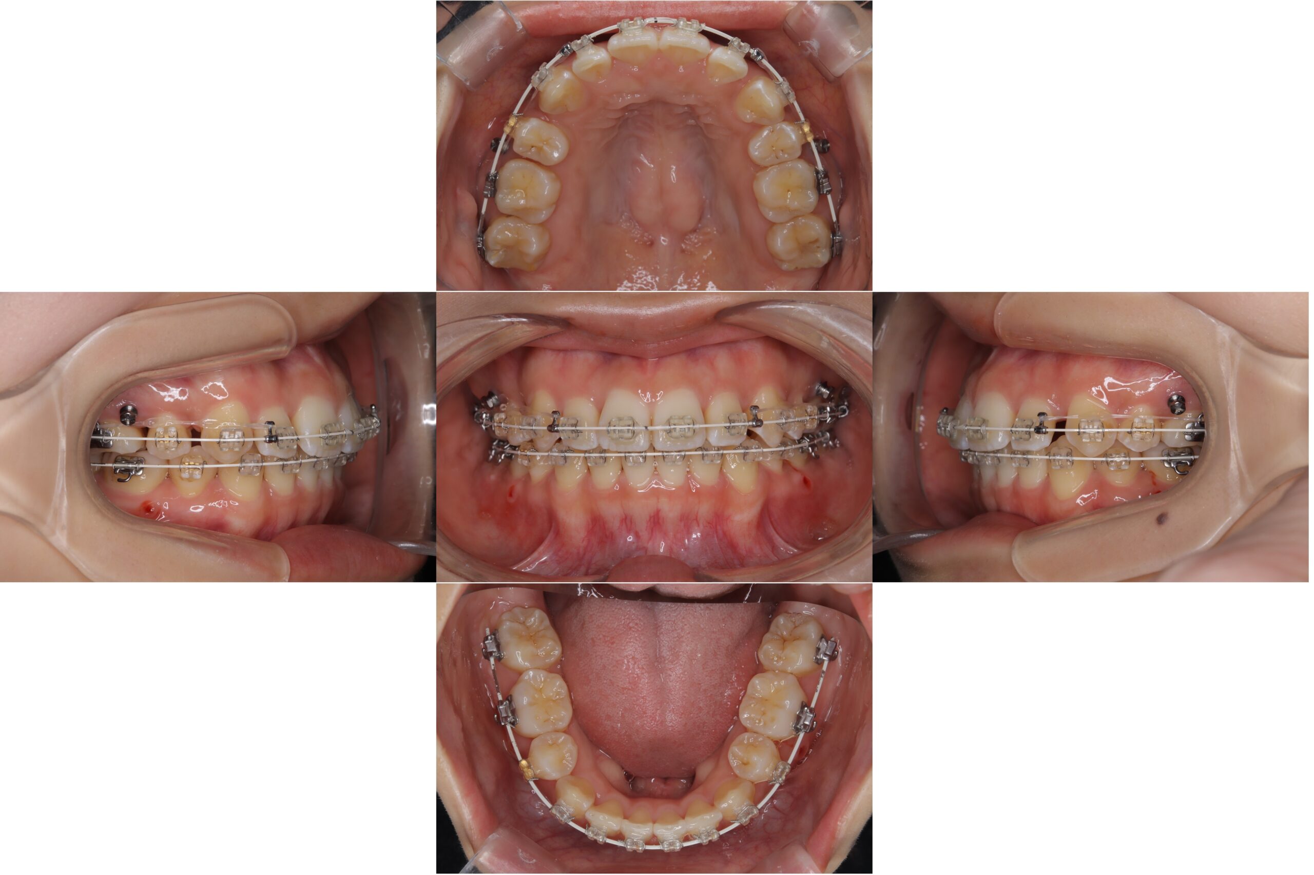
BEFORE AFTER

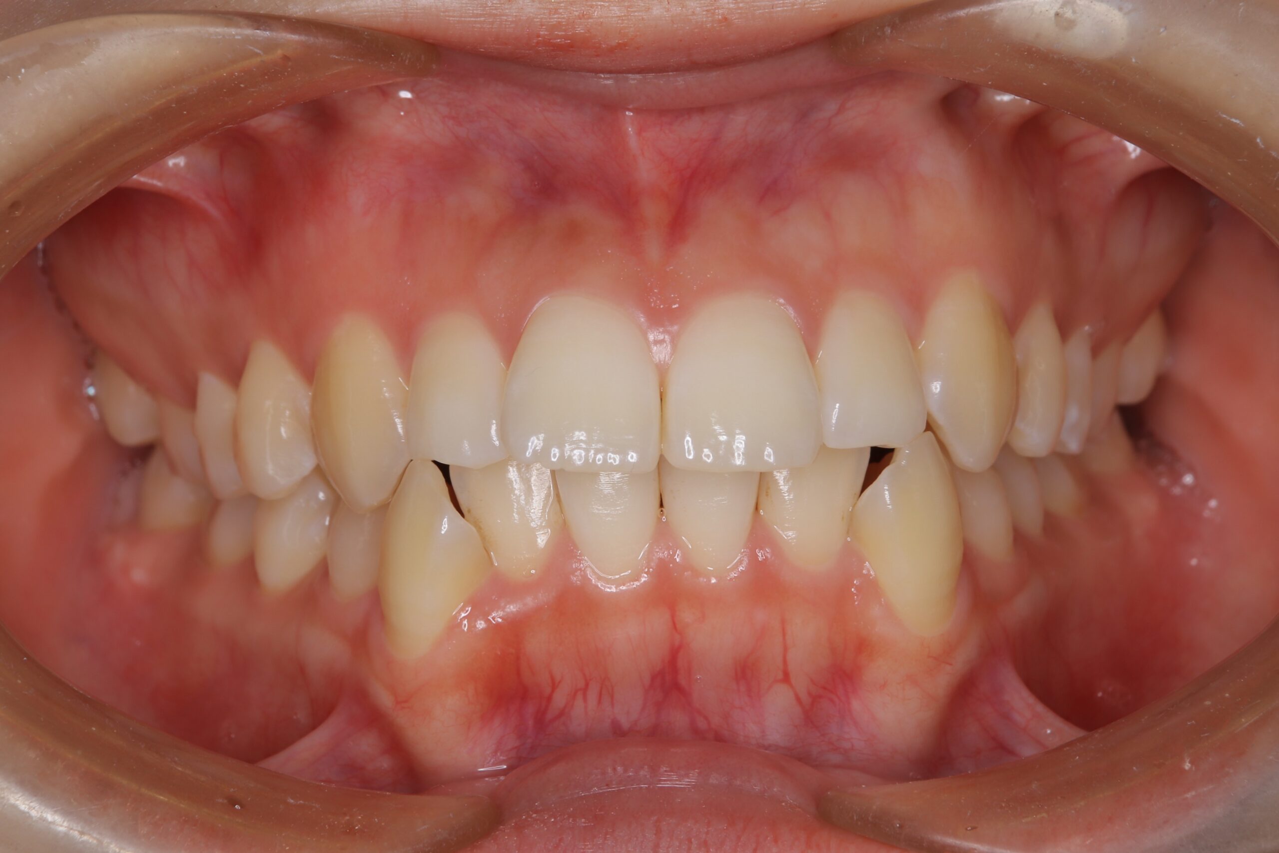
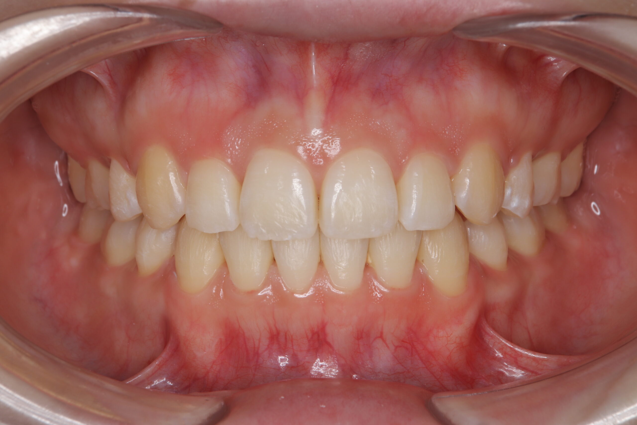
Before
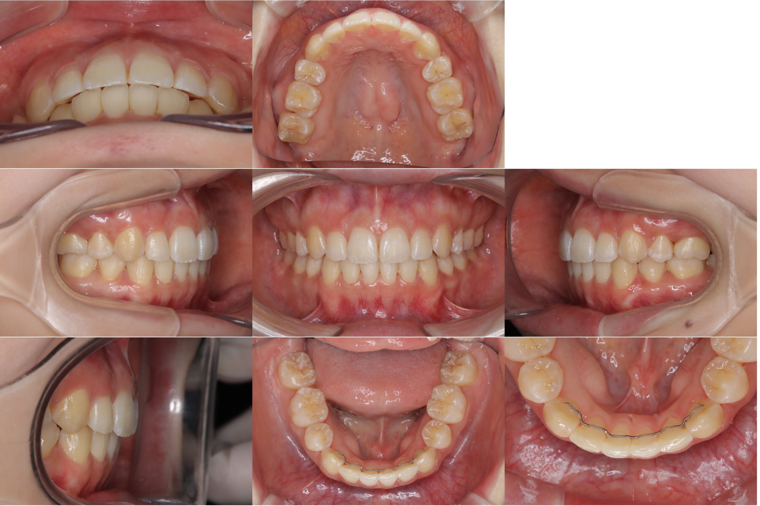
After
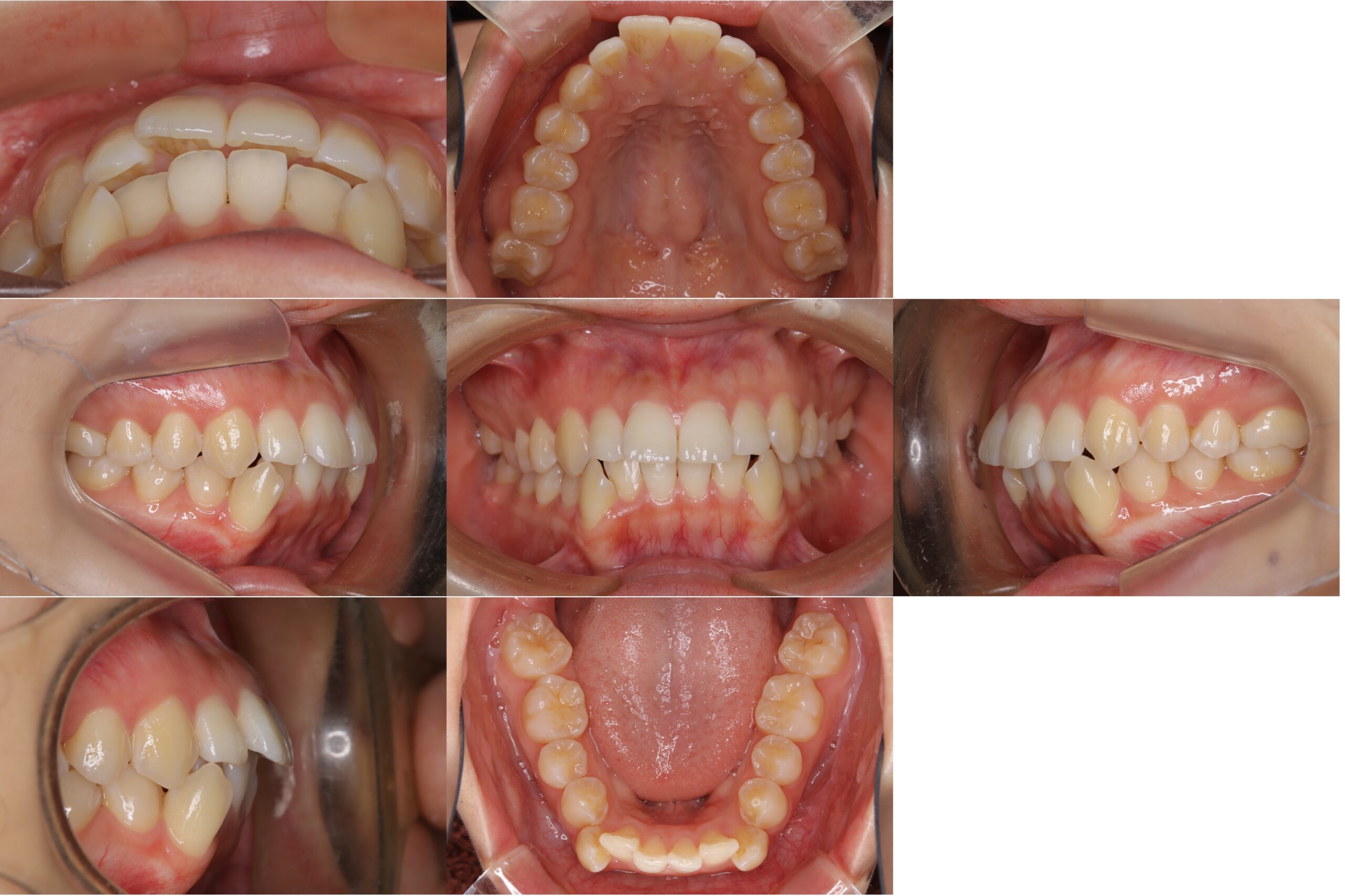
Before
After

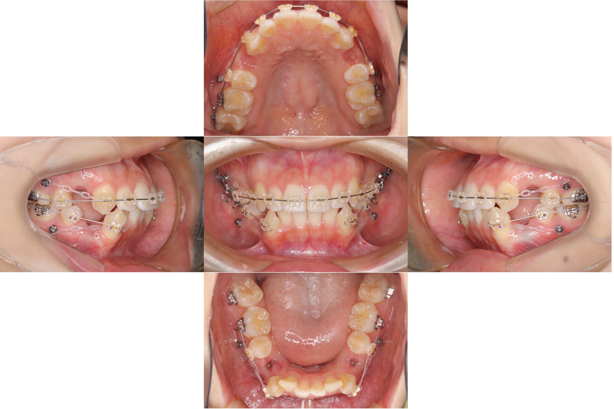
治療経過

治療経過
治療経過
治療経過

( 1 / 1 )

主訴 前歯を引っ込めたい
治療内容 ワイヤー矯正(抜歯矯正)
治療期間 約4年
費用

880,000円(税込み)

治療のリスク 【矯正治療(ワイヤー矯正)に関するリスク・副作用】
・装置装着後、一時的に疼痛、違和感等が生じることがあります
・症例により抜歯を伴う場合があります
・装置の影響により口腔清掃が困難となり、う蝕や歯周疾患のリスクが増加する可能性があります
・治療終了後、保定装置の使用状況により後戻りが生じる可能性があります
・治療結果および治療期間には個人差があります
・本治療は自由診療(保険適用外)です
所見 時間はかかりましたが口元がすっきりしました。

関連記事

カテゴリ

当医院について

両国リバーサイド歯科は、両国駅東口徒歩3分の歯科医院です。月曜から土曜の10:00〜13:00/14:00〜18:30に診療を行っております。

ご予約はこちら

03-6659-5535

午前9:00-13:00
午後14:30-18:30

タップして電話をかける 24時間受付WEB予約