2026-02-21

【メディア掲載のお知らせ】院長 五十嵐 が医師経営メディア「医師道」にインタビュー掲載されました。

  • HOME
  • 症例
  • インビザライン前歯の反対咬合を改善
矯正治療

2026-04-17

著者:

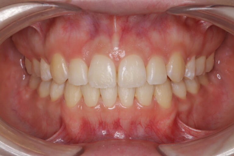
インビザライン前歯の反対咬合を改善

症例

BEFORE AFTER

Before
After
主訴 前歯の歯並びが気になる
治療内容 マウスピース矯正:インビザラインコンプリヘンシブパッケージ
治療期間 1年1カ月
費用

770,000円(税込)

治療のリスク マウスピース型矯正装置による治療に関するリスク・副作用
・口腔内の状態等により適応とならない場合があります
・十分な治療効果を得るためには、長時間(目安として1日20時間以上)の装着が必要です
・装着時間および使用状況により、治療計画通りに進行しない可能性があります
・治療終了後、保定が不十分な場合には後戻りが生じる可能性があります
・未承認医療機器を使用する場合があり、医薬品副作用被害救済制度の対象外となることがあります
・治療結果および治療期間には個人差があります
・本治療は自由診療(保険適用外)です
所見 初回のマウスピース治療で反対のになっていた前歯を改善し2回目の追加アライナーで微調整を行い、約1年で終わりました。

関連記事

カテゴリ

当医院について

両国リバーサイド歯科は、両国駅東口徒歩3分の歯科医院です。月曜から土曜の10:00〜13:00/14:00〜18:30に診療を行っております。

ご予約はこちら

03-6659-5535

午前9:00-13:00
午後14:30-18:30

タップして電話をかける 24時間受付WEB予約