2026-02-21

【メディア掲載のお知らせ】院長 五十嵐 が医師経営メディア「医師道」にインタビュー掲載されました。

  • HOME
  • 症例
  • インビザラインがたつきを綺麗に
矯正治療

2026-04-16

著者:

インビザラインがたつきを綺麗に

症例

BEFORE AFTER

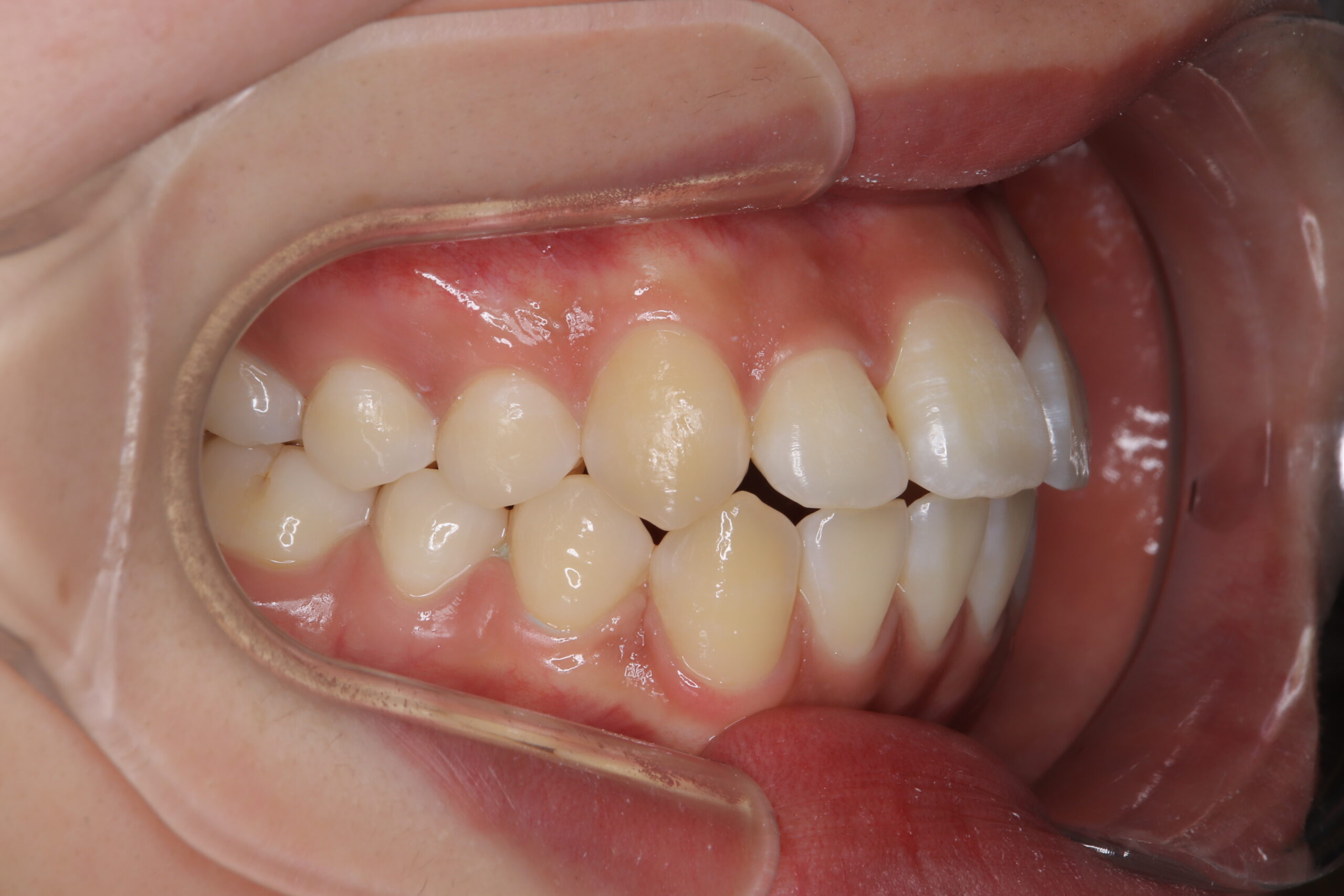
Before
After

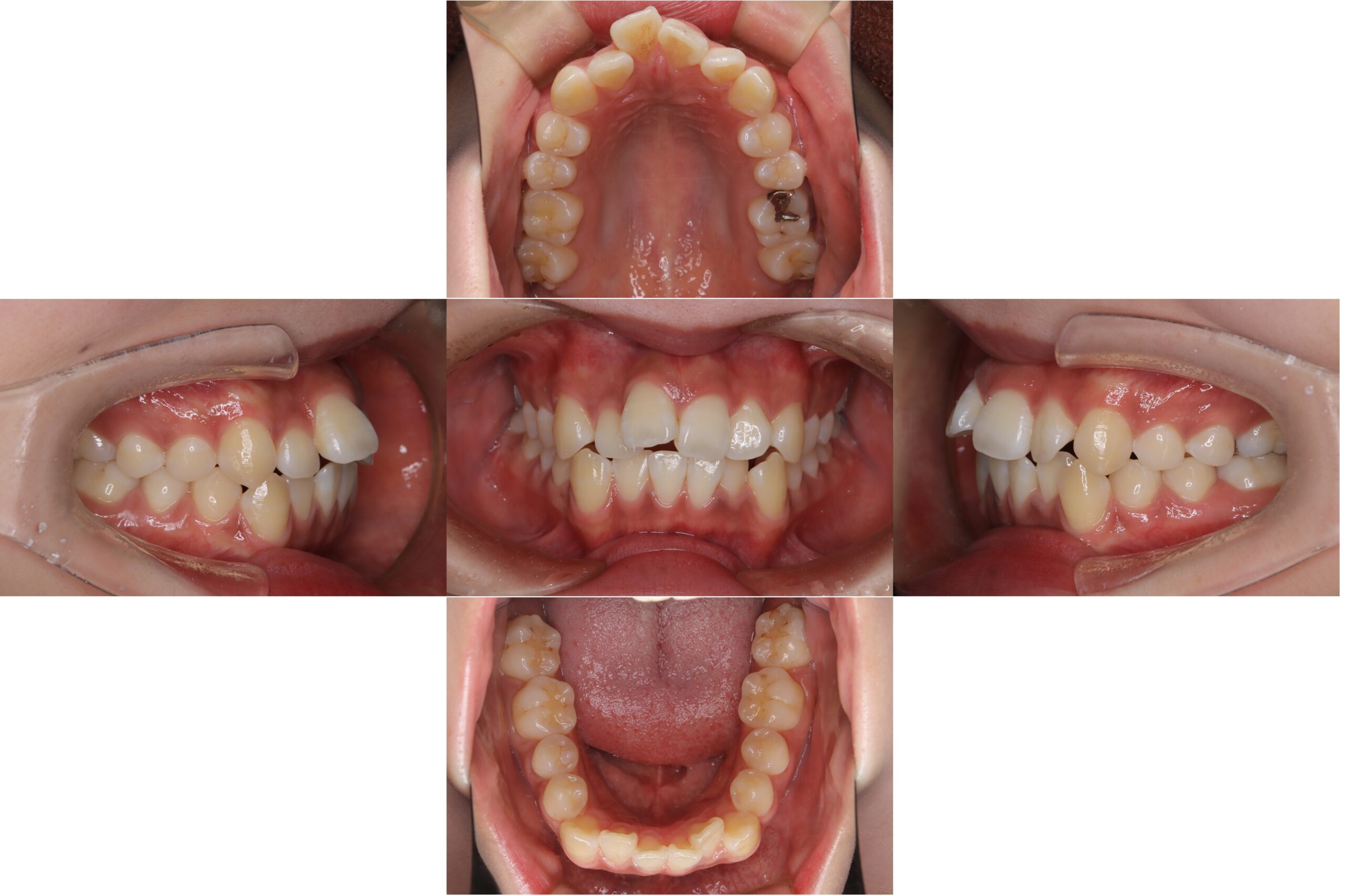
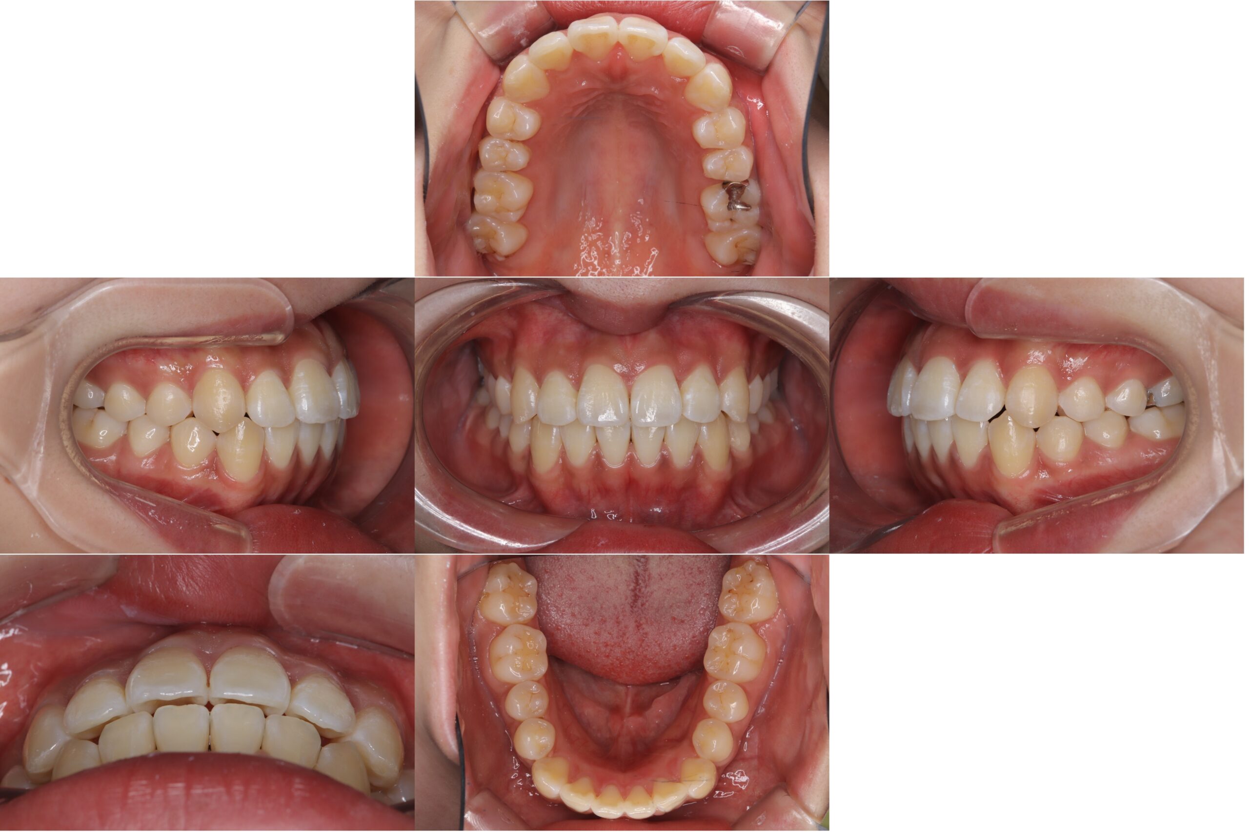
治療経過

治療経過
治療経過
治療経過

( 1 / 1 )

主訴 前歯が出っ張ているところが気になる
治療内容 インビザライン:コンプリヘンシブパッケージ
治療期間 約1年
費用

770,000円(税込)

治療のリスク マウスピース型矯正装置による治療に関するリスク・副作用
・口腔内の状態等により適応とならない場合があります
・十分な治療効果を得るためには、長時間(目安として1日22時間以上)の装着が必要です
・装着時間および使用状況により、治療計画通りに進行しない可能性があります
・治療終了後、保定が不十分な場合には後戻りが生じる可能性があります
・未承認医療機器を使用する場合があり、医薬品副作用被害救済制度の対象外となることがあります
・治療結果および治療期間には個人差があります
・本治療は自由診療(保険適用外)です
所見 がたつきの程度がかなり大きいので時間がかかると思われていましたが患者さんが非常に真面目に取り組んでいたので予想よりも早く仕上がりました。 前歯1本だけが前に出ていただけなので抜歯をせずに口元を下げることができました。

関連記事

カテゴリ

当医院について

両国リバーサイド歯科は、両国駅東口徒歩3分の歯科医院です。月曜から土曜の10:00〜13:00/14:00〜18:30に診療を行っております。

ご予約はこちら

03-6659-5535

午前9:00-13:00
午後14:30-18:30

タップして電話をかける 24時間受付WEB予約