2026-02-21

【メディア掲載のお知らせ】院長 五十嵐 が医師経営メディア「医師道」にインタビュー掲載されました。

両国駅東口徒歩3分の歯科医院
両国リバーサイド歯科クリニック

Care You Can Trust. 一人ひとりに最適な答えを。
総合歯科で叶える確かな治療。

INFORMATION

医院情報

平日は休診日なし、
月曜日から土曜日まで診療。

月曜から土曜の10:00〜13:00/14:00〜18:30に診療を行っております。地域の皆さまが安心して通える歯科医院を目指し、むし歯や歯周病などの一般診療から、矯正、インプラント治療まで幅広く対応いたします。

診療時間

10:00-13:00

14:00-18:30

診療時間

10:00-13:00/14:00-18:30

休診日

日曜・祝日

JR総武線「両国駅」東口から
徒歩3分の歯科医院。

JR総武線「両国駅」から徒歩3分。都営大江戸線も利用できる2路線アクセスの便利な立地で、お仕事帰りやお出かけのついでにも通いやすい歯科医院です。

〒130-0026 東京都墨田区両国3-20-3 ベルメゾン両国1階

JR総武線「両国駅」東口から徒歩3分
都営大江戸線「両国駅」A4出口から徒歩7分

FEATURE

10個特徴両国リバーサイド歯科クリニック
の10個の特徴

当院の特徴

患者さま一人ひとりの想いに寄り添うために、
私たちは「丁寧な説明」と
「安心できる環境」にこだわっています。

「両国リバーサイド歯科クリニック」は、JR総武線「両国駅」東口から徒歩3分の場所にある、通いやすい歯科医院です。
患者さま一人ひとりの想いに寄り添い、安心して歯科治療を受けられるよう丁寧なカウンセリングとわかりやすい説明を心がけています。
マイクロスコープやCTを活用した精密診療、痛みに配慮した治療体制を整え、むし歯・歯周病の治療から予防、インプラントや矯正まで幅広い歯科治療を対応いたします。

01 Feature

歯の寿命を最大限に延ばす
根管治療

マイクロスコープやNi-Tiファイルを活用し、歯の寿命を最大限延ばす根管治療を行います。長期的に健康な歯を守ります。

02 Feature

一人ひとりに合わせた
最適な治療提案

歯周外科・インプラント・矯正治療など、複雑な症例にも対応し、一人ひとりに合わせた最適な治療プランをご提案します。

03 Feature

リラックスして受けられる
歯科治療体制

歯科治療が苦手な方や恐怖心の強い方もリラックスして治療を受けられる体制を整えています。

04 Feature

初診は60分!
じっくり向き合う診療時間

当院では、初診では、60分程度その後も、30分以上の時間をかけて親身に診察します。

PICK UP

除菌装置
“ポセイドン”

歯科ユニットのお水を
清潔に保つ除菌装置。

当院では、治療に使用するすべてのお水を清潔に保つため、中性電解水システム「ポセイドン」を導入しています。
自動で水質を整え、給水管内の雑菌繁殖を防止。薬剤を使わず、人にも機器にもやさしい安全なお水を供給します。
常に衛生的な環境で、安心して治療を受けていただけます。

ポセイドン
TREATMENT

診療案内

患者さま一人ひとりに寄り添う
幅広い診療メニューを提供

診療メニュー

むし歯治療、歯周病、予防歯科、インプラント、矯正歯科、審美歯科など、
幅広い治療に対応できる総合歯科クリニックです。マイクロスコープやCT、Xガイドなどを活用し、精密で再発を防ぐ治療を行っています。
「痛くない」「抜かない」「できるだけ削らない」治療方針で、長く健康な歯を守ります。小さな症状から専門的な治療まで、お口のお悩みはすべて当院にご相談ください。

PICK UP

静脈内鎮静法

歯科治療に対して「怖い」「緊張する」と
感じる方のために、
静脈内鎮静法に対応しています。

点滴から鎮静薬を少量ずつ投与し、眠っているようなリラックス状態で治療を受けられる方法です。
痛みや恐怖心を抑えながら、インプラント手術や抜歯、長時間の治療なども安心して受けていただけます。治療中の記憶がほとんど残らないため、歯科恐怖症の方にもおすすめです。
麻酔専門医による管理のもと、安全に配慮した静脈内鎮静法を行っています。
CASE

症例紹介

両国リバーサイド歯科クリニック
の症例紹介

症例一覧

矯正、インプラント、審美治療。
豊富な治療実績を紹介。

【症例に関する説明文章を記載/200文字程度】矯正治療・インプラント治療・審美治療をはじめ、当院ではこれまで数多くの症例を手がけてまいりました。
「どんな治療を受けられるのか」「仕上がりはどうなるのか」
治療に関するお悩みや疑問は人それぞれです。そんな気持ちに少しでもお応えできるよう、矯正・インプラント・審美治療の症例を紹介しています。

セラミック

2026-05-02

BEFORE AFTER

銀歯をセラミックへ

主訴 銀歯を変えたい

期間 2週間

費用 e-max インレー¥75,000×4歯 +tax

治療内容 セラミックインレー

治療に伴うリスク 【セラミック治療に関するリスク・副作用】<br /> ・修復のために健全歯質を削除する必要があります<br /> ・咬合力やブラキシズム(歯ぎしり・食いしばり)等により破損する可能性があります<br /> ・材料特性により対合歯を摩耗させる可能性があります<br /> ・装着後に脱離する可能性があります<br /> ・治療結果には個人差があります<br /> ・本治療は自由診療(保険適用外)です<br />

セラミック

2026-04-24

BEFORE AFTER

前歯のセラミックブリッジ

主訴 インプラントの相談がしたい

期間 1.5か月

費用 フルジルコニアブリッジ:313,500円(税込)

治療内容 セラミック治療

治療に伴うリスク 【セラミック治療に関するリスク・副作用】<br /> ・修復のために健全歯質を削除する必要があります<br /> ・咬合力やブラキシズム(歯ぎしり・食いしばり)等により破損する可能性があります<br /> ・材料特性により対合歯を摩耗させる可能性があります<br /> ・装着後に脱離する可能性があります<br /> ・治療結果には個人差があります<br /> ・本治療は自由診療(保険適用外)です<br />

矯正治療

2026-04-22

BEFORE AFTER

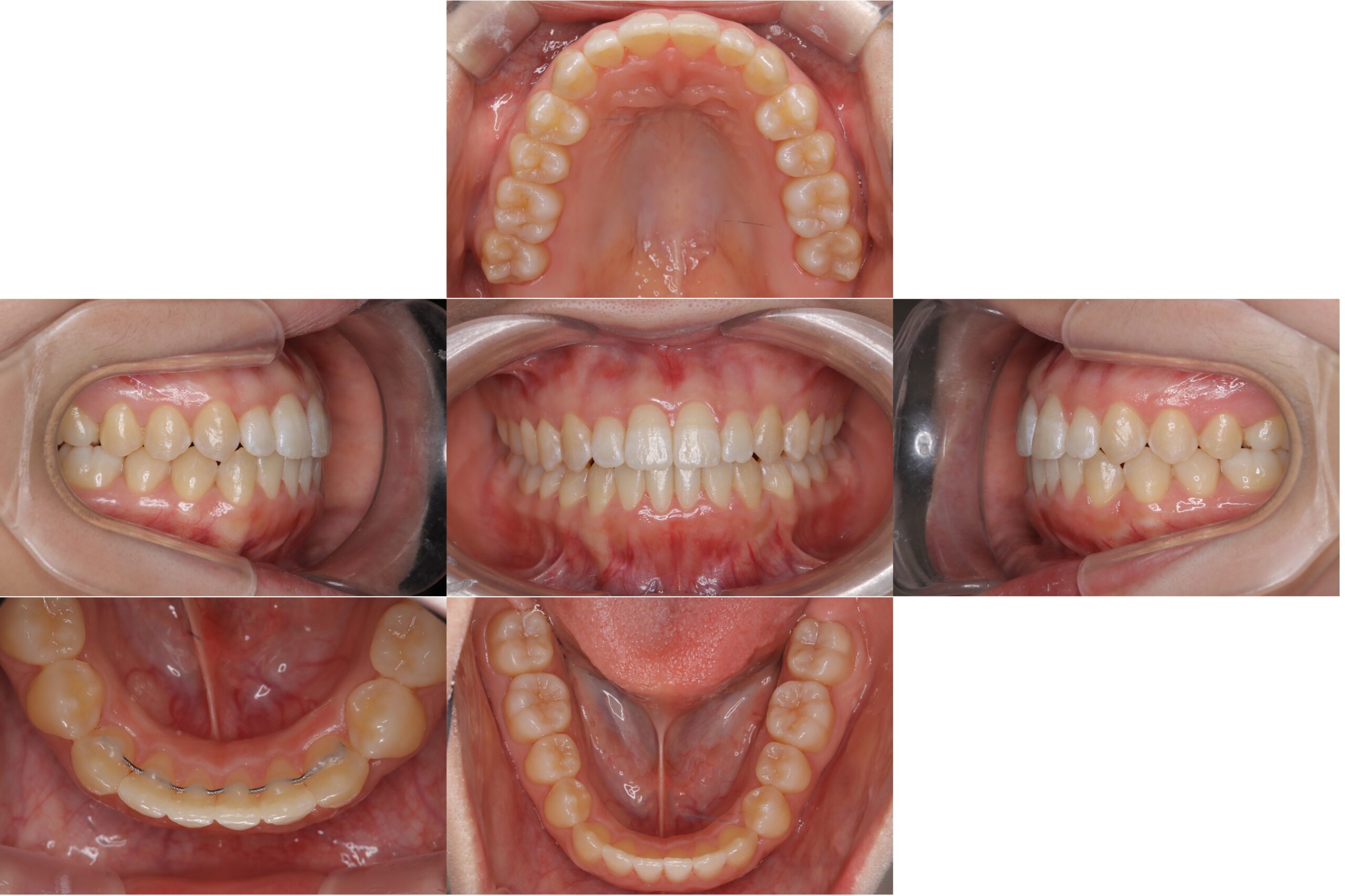
翼状捻転:モデレートで矯正

主訴 歯がねじれているのが気になる

期間 1年5カ月

費用 モデレートパッケージ:660,000円(税込み)

治療内容 インビザライン:モデレート

治療に伴うリスク 【マウスピース型矯正装置による治療に関するリスク・副作用】<br /> ・口腔内の状態等により適応とならない場合があります<br /> ・十分な治療効果を得るためには、長時間(目安として1日20時間以上)の装着が必要です<br /> ・装着時間および使用状況により、治療計画通りに進行しない可能性があります<br /> ・治療終了後、保定が不十分な場合には後戻りが生じる可能性があります<br /> ・未承認医療機器を使用する場合があり、医薬品副作用被害救済制度の対象外となることがあります<br /> ・治療結果および治療期間には個人差があります<br /> ・本治療は自由診療(保険適用外)です<br />

セラミック

2026-04-21

BEFORE AFTER

ホワイトニング+セラミックによる審美補綴

主訴 歯を白くしたい

期間 約2カ月

費用 オフィスホワイトニング:25,000円(税抜) セラミッククラウン:120,000円(税抜)

治療内容 オフィスホワイトニング、セラミッククラウン(ジルコニアポーセレン)

治療に伴うリスク 【セラミック治療に関するリスク・副作用】<br /> ・修復のために健全歯質を削除する必要があります<br /> ・咬合力やブラキシズム(歯ぎしり・食いしばり)等により破損する可能性があります<br /> ・材料特性により対合歯を摩耗させる可能性があります<br /> ・装着後に脱離する可能性があります<br /> ・治療結果には個人差があります<br /> 【ホワイトニングに関するリスク・副作用】<br /> ・知覚過敏症状が生じることがあります<br /> ・白斑や色調の不均一が一時的に生じることがあります<br /> ・補綴物(被せ物・詰め物)には効果が認められません<br /> ・効果および持続期間には個人差があります<br /> ・歯の状態により適応とならない場合があります<br /> 【共通注意事項】<br /> ・掲載している症例は一例であり、同様の結果を保証するものではありません<br /> ・治療前には十分な説明を行い、同意を得た上で治療を実施しています<br /> ・本治療は自由診療(保険適用外)です

セラミック

2026-04-20

BEFORE AFTER

銀歯からセラミックへ

主訴 銀歯を白くしたい

期間 2週間

費用 e-max:¥75,000+tax×2歯

治療内容 e-maxプレスインレー

治療に伴うリスク 【セラミック治療に関するリスク・副作用】<br /> ・修復のために健全歯質を削除する必要があります<br /> ・咬合力やブラキシズム(歯ぎしり・食いしばり)等により破損する可能性があります<br /> ・材料特性により対合歯を摩耗させる可能性があります<br /> ・装着後に脱離する可能性があります<br /> ・治療結果には個人差があります<br /> ・本治療は自由診療(保険適用外)です

矯正治療

2026-04-18

BEFORE AFTER

ワイヤーによる抜歯矯正

主訴 前歯を引っ込めたい

期間 約4年

費用 880,000円(税込み)

治療内容 ワイヤー矯正(抜歯矯正)

治療に伴うリスク 【矯正治療(ワイヤー矯正)に関するリスク・副作用】<br /> ・装置装着後、一時的に疼痛、違和感等が生じることがあります<br /> ・症例により抜歯を伴う場合があります<br /> ・装置の影響により口腔清掃が困難となり、う蝕や歯周疾患のリスクが増加する可能性があります<br /> ・治療終了後、保定装置の使用状況により後戻りが生じる可能性があります<br /> ・治療結果および治療期間には個人差があります<br /> ・本治療は自由診療(保険適用外)です<br />

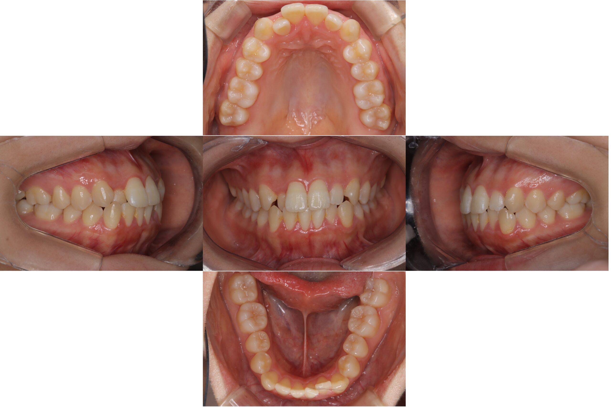
矯正治療

2026-04-17

BEFORE AFTER

インビザライン前歯の反対咬合を改善

主訴 前歯の歯並びが気になる

期間 1年1カ月

費用 770,000円(税込)

治療内容 マウスピース矯正:インビザラインコンプリヘンシブパッケージ

治療に伴うリスク マウスピース型矯正装置による治療に関するリスク・副作用<br /> ・口腔内の状態等により適応とならない場合があります<br /> ・十分な治療効果を得るためには、長時間(目安として1日20時間以上)の装着が必要です<br /> ・装着時間および使用状況により、治療計画通りに進行しない可能性があります<br /> ・治療終了後、保定が不十分な場合には後戻りが生じる可能性があります<br /> ・未承認医療機器を使用する場合があり、医薬品副作用被害救済制度の対象外となることがあります<br /> ・治療結果および治療期間には個人差があります<br /> ・本治療は自由診療(保険適用外)です

矯正治療

2026-04-16

BEFORE AFTER

インビザラインがたつきを綺麗に

主訴 前歯が出っ張ているところが気になる

期間 約1年

費用 770,000円(税込)

治療内容 インビザライン:コンプリヘンシブパッケージ

治療に伴うリスク マウスピース型矯正装置による治療に関するリスク・副作用<br /> ・口腔内の状態等により適応とならない場合があります<br /> ・十分な治療効果を得るためには、長時間(目安として1日22時間以上)の装着が必要です<br /> ・装着時間および使用状況により、治療計画通りに進行しない可能性があります<br /> ・治療終了後、保定が不十分な場合には後戻りが生じる可能性があります<br /> ・未承認医療機器を使用する場合があり、医薬品副作用被害救済制度の対象外となることがあります<br /> ・治療結果および治療期間には個人差があります<br /> ・本治療は自由診療(保険適用外)です

DOCTOR

院長紹介

IGARASHI
TAKAHIRO

院長 五十嵐 隆泰

親しみやすい環境での
歯科治療を心掛けています。

当院では親しみやすい環境での歯科治療を心掛けており、それぞれの患者様に合った治療を提案、提供します。
治療の選択肢がいくつあるか、それぞれが質の高いものであることが必要であると考えております。
また歯科治療恐怖症の方でも安心してご来院いただけるよう、静脈内鎮静法など、痛みの少ない治療も行っています。
まずは、お口の健康チェックから、どうぞお気軽にお越しください。

スタッフ紹介

両国リバーサイド歯科クリニックの
診療理念

一人ひとりに最適な答えを。
総合歯科で叶える
確かな治療を目指して。

01.

当院では最新の技術と知識を駆使し、痛みや不安を最小限に抑えた治療環境を提供します。

02.

患者さま一人ひとりの想いに寄り添い、生涯を通じて健康で豊かな生活を支える
歯科医療を目指し治療だけでなく、予防と維持管理にも力を注ぎます。

03.

根管治療・歯周外科・インプラント・矯正といった多岐にわたる専門治療をワンストップで提供し、
患者さまが最適な治療を選べる環境を整えます。

04.

専門性と総合力を兼ね備えた歯科医療で、未来の笑顔を守ります。

CLINIC

院内設備

快適で安全な診療環境

歯科治療に対して「怖い」「緊張する」と感じる方にも、安心して通っていただけるよう、当院では快適で安全な診療環境を整えています。

設備紹介
FIRST

初めて受診される方へ

お口の状態や、
お悩みをお伺いいたします!

当院では、初診の際にまずお口の状態や気になる症状、生活習慣などを詳しくお伺いします。患者さま一人ひとりに合わせた診療計画を立てるため、カウンセリングのお時間をしっかり確保しております。
治療に対する不安や「痛みが苦手」「どんな治療になるのか知りたい」など、どんな小さなことでも構いません。
安心して治療を受けていただけるよう、スタッフ全員でサポートいたします。

初めての方へ
各種保険取り扱い初診費用

約¥3,000〜5,000

クレジットカード支払い対応

各種診療の料金表