2026-02-21

【メディア掲載のお知らせ】院長 五十嵐 が医師経営メディア「医師道」にインタビュー掲載されました。

  • HOME
  • 症例
  • ホワイトニング+セラミックによる審美補綴

著者:

ホワイトニング+セラミックによる審美補綴

症例

BEFORE AFTER

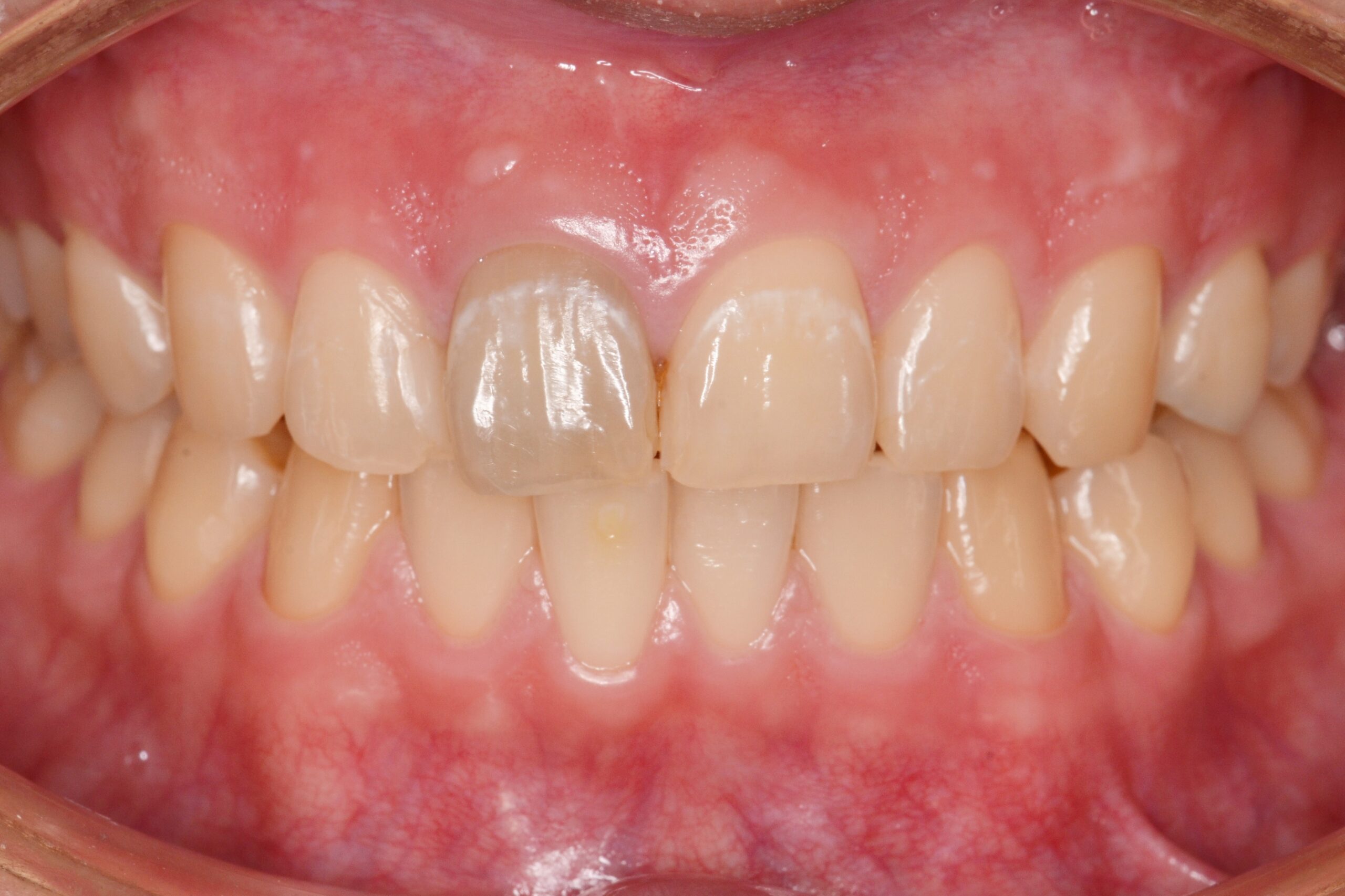
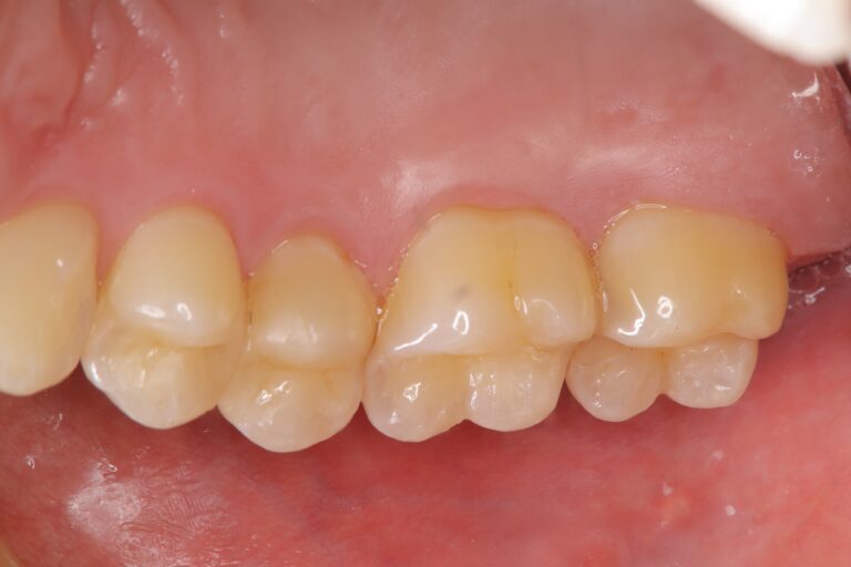
Before
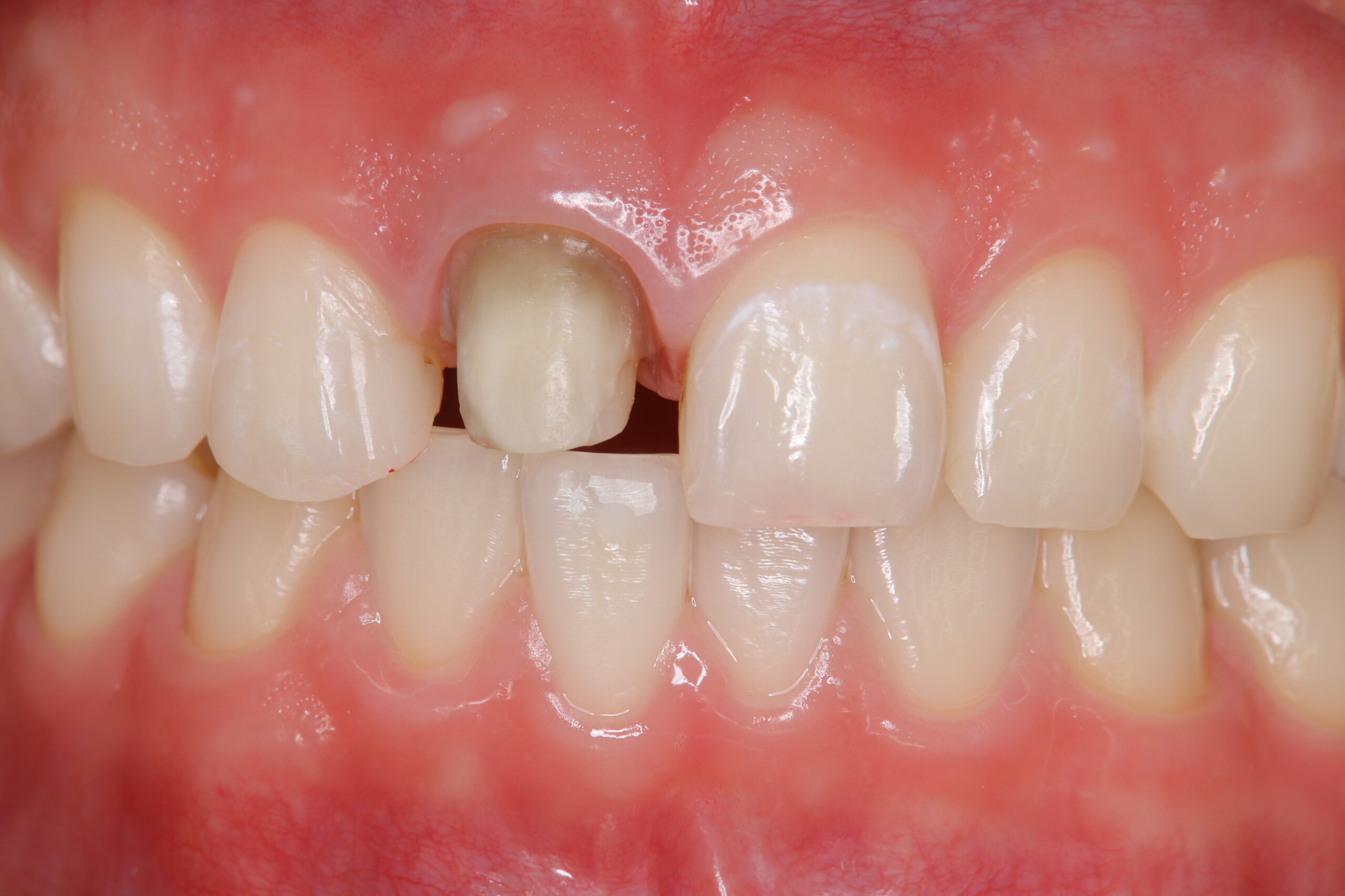
After

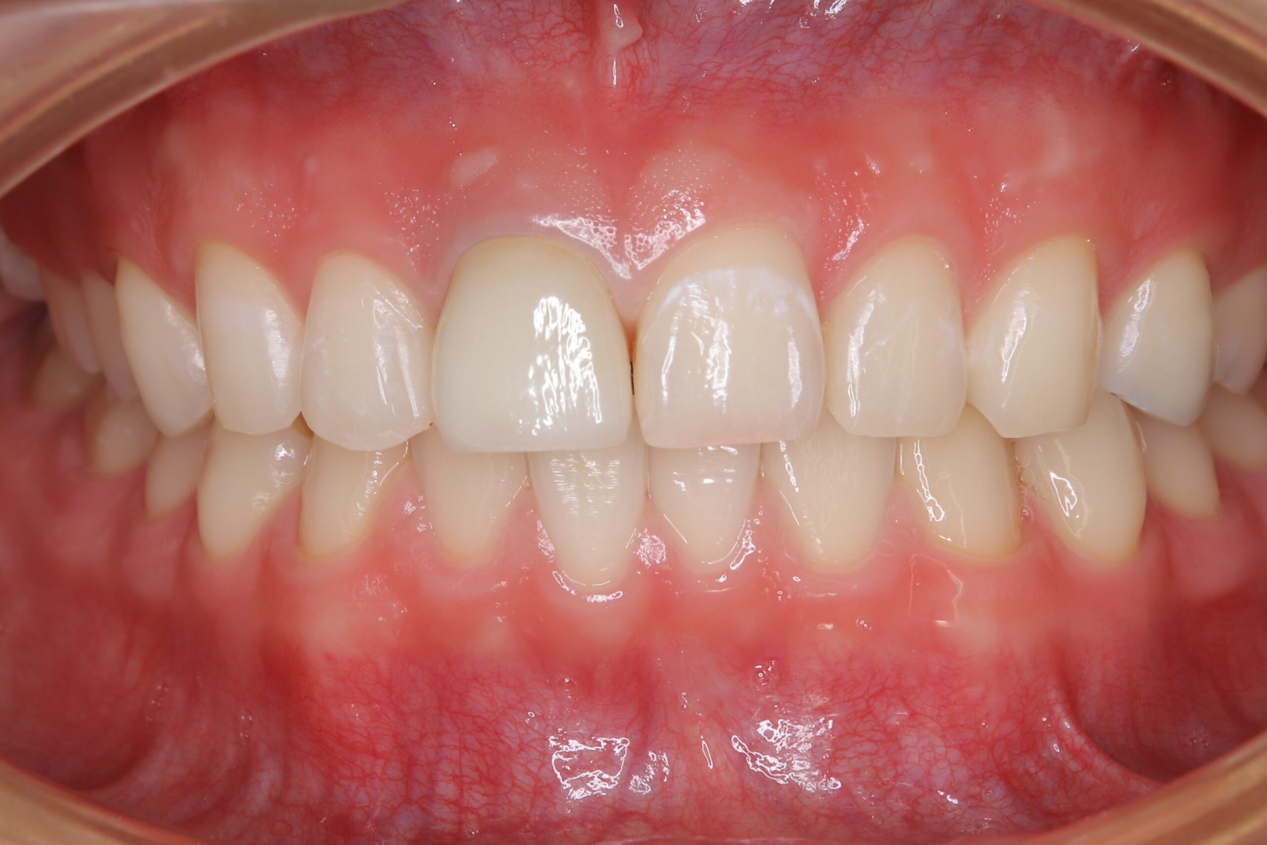
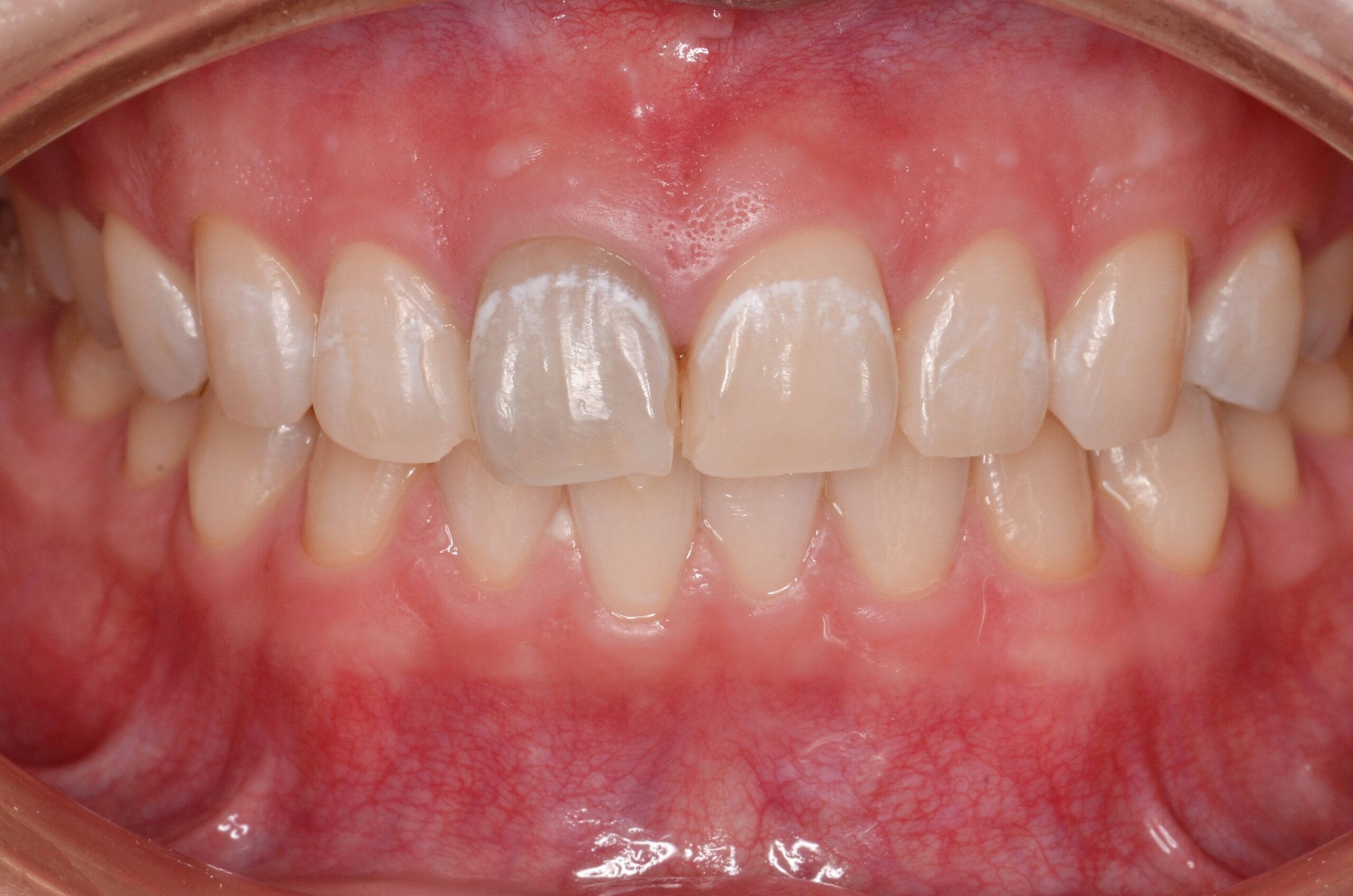
治療経過

治療経過
治療経過

まずはホワイトニングで自分の理想の白さを追求し、その色に合わせてクラウン(被せ物)を作製していく

( 1 / 1 )

主訴 歯を白くしたい
治療内容 オフィスホワイトニング、セラミッククラウン(ジルコニアポーセレン)
治療期間 約2カ月
費用

オフィスホワイトニング:25,000円(税抜)
セラミッククラウン:120,000円(税抜)

治療のリスク 【セラミック治療に関するリスク・副作用】
・修復のために健全歯質を削除する必要があります
・咬合力やブラキシズム(歯ぎしり・食いしばり)等により破損する可能性があります
・材料特性により対合歯を摩耗させる可能性があります
・装着後に脱離する可能性があります
・治療結果には個人差があります
【ホワイトニングに関するリスク・副作用】
・知覚過敏症状が生じることがあります
・白斑や色調の不均一が一時的に生じることがあります
・補綴物(被せ物・詰め物)には効果が認められません
・効果および持続期間には個人差があります
・歯の状態により適応とならない場合があります
【共通注意事項】
・掲載している症例は一例であり、同様の結果を保証するものではありません
・治療前には十分な説明を行い、同意を得た上で治療を実施しています
・本治療は自由診療(保険適用外)です
所見 前歯の変色を主訴に来院しました。 全体的にも白くしたい願望があり、ホワイトニング→セラミックという順番で治療を行いました。 ホワイトニング後の歯の色に合わせてセラミックの色調を決めました。今回は1度のホワイトニングでかなり白くなったので1回で終わりましたが、ホワイトニングは個人差があったりその人の好みの白さがありますのでよく相談していく必要があります。

関連記事

カテゴリ

当医院について

両国リバーサイド歯科は、両国駅東口徒歩3分の歯科医院です。月曜から土曜の10:00〜13:00/14:00〜18:30に診療を行っております。

ご予約はこちら

03-6659-5535

午前9:00-13:00
午後14:30-18:30

タップして電話をかける 24時間受付WEB予約